
무지외반증이란 엄지발가락이 휘어져 엄지발가락의 관절이 바깥으로 꺾여 있는 상태를 말합니다. 무지외반증의 무지란 엄지발가락을 말하며, 외반은 바깥으로 꺾여 있다는 뜻입니다. 발을 위에서 보았을 때 발가락이 안쪽으로 모이는 형상으로 발이 변형된 것이 바로 무지외반증입니다. 무지외반증은 엄지발가락 부위의 통증을 유발하여 신발을 신거나 걷는 것을 불편하게 하며, 심해질 경우 관절이나 척추에도 무리가 갈수 있습니다. 지금부터 무지외반증의 모든 것에 대해, 특히 궁금해 하시는 무지외반증 교정기와 무지외반증 수술비용에 대해서 자세히 알아보도록 하겠습니다.



무지외반증 원인
무지외반증의 원인은 유전적 소인과 후천전 요인이 복합적으로 작용합니다. 발 볼이 넓거나 평발인 경우 혹은 관절이 과도하게 유연한 경우 무지외반증이 발생할 가능성이 높습니다. 또한 발볼이 좁은 구두나 하이힐을 신는 것도 무지외반증의 원인으로 지목되고 있습니다. 이러한 신발은 체중을 발 앞쪽에 쏠리게하여 발가락 변형을 유발하기 때문입니다. 무지외반증은 일반적으로 여성에게서 훨씬 많이 발병하는 것으로 알려져 있습니다.



무지외반증 치료
무지외반증 치료에는 보존적 치료와 수술적 치료가 있습니다. 보존적 치료에는 대표적으로 교정기가 있으며 수술적 치료는 휘어져 있는 발가락을 교정하기 위해 뼈의 방향을 맞추는 치료를 말합니다.
무지외반증 교정기



많은 광고에서 교정기로 무지외반증을 교정할 수 있다고 말하고 있습니다. 교정기란 엄지와 검지 사이 등에 기구를 끼워 발가락을 교정하는 도구로, 결론부터 말하자면 교정기로는 휘어진 발가락을 원래대로 되돌릴 수는 없다고 합니다. 교정기는 휘어진 발가락을 일시적으로 완화시켜 통증을 줄여주는 효과는 있으나 그 치료에는 명확한 한계가 있습니다.
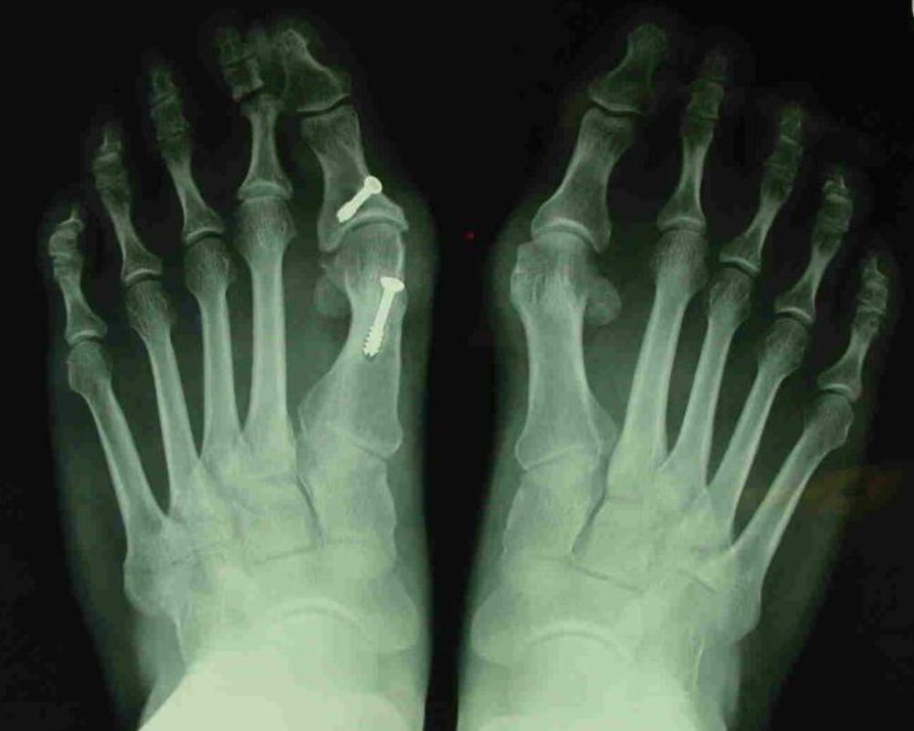
수술적 치료


무지외반증을 치료하는 수술 방법은 무려 100가지가 넘는다고 합니다. 이는 환자마다 무지외반증의 원인, 변형된 모양과 각도가 다 다르기 때문에 한 가지 방법으로 모든 환자를 치료할 수 없다는 것입니다. 수술은 휘어져 있는 엄지발가락을 올바른 방향으로 맞춘 후 핀이나 나사 등으로 고정하는 방법이 사용됩니다. 뼈를 치는 수술이다 보니 수술 후 통증이 있을 수 있으며, 수술 후 얼마 기간 동안은 깁스를 하고 생활해야 하며, 병원을 퇴원한 후에도 수술부위에 충격이 가거나 움직이지 않도록 주의해야 합니다.
무지외반증 수술비용



위에서 무지외반증 수술의 가짓수가 100가지도 넘는다고 말씀드렸듯이 무지외반증 수술 비용도 환자에 따라, 병원에 따라, 지역에 따라 다를 수 있습니다. 대략적인 비용은 발 양쪽 기준 적게는 300만원 안팍, 많게는 500만원 정도의비용이 소요될 수 있으며, 실비 보험 처리를 하는 경우 실제 비용은 훨씬 적게 들 것입니다. 다시 말씀드리지만, 대략적인 비용일 뿐, 정확한 비용은 병원에서 직접 검사를 받으시고 확인하셔야 합니다.
무지외반증을 사전에 예방하기 위해서는 뒷굽이 높은 신발이나 볼이 좁은 신발을 되도록 신지 않고 편한 신발을 착용하는 것이 발 건강을 위해서 좋습니다. 지금까지 무지외반증 원인, 무지외반증 교정기, 무지외반증 수술비용에 대해서 자세히 알아보았습니다.



기타 건강 정보
류마티스 관절염 초기증상, 류마티스 관절염 치료법
우리 몸은 외부의 나쁜 물질에 항상 노출되어 공격을 받고 있습니다. 하지만 우리가 건강하게 몸을 유지할 수 있는 것은 우리의 면역 세포들이 나쁜 물질의 침투를 막고 제거하기 때문입니다.
panight.tistory.com
임플란트 가격 비교, 앞니 임플란트, 어금니 임플란트
옛말에 건강한 치아는 오복(五福) 중 하나라는 얘기가 있습니다. 인생을 통틀어 가장 큰 5가지의 복 중에 치아가 튼튼한 것이 포함된다니, 치아가 건강하지 못했을 때 생기는 신체적, 심적인 고
panight.tistory.com
보청기 국가보조금 지원 신청 방법
오늘은 보청기에 대해서 이야기해보고자 합니다. 청각기관의 기능이 저하되는 난청은 의사소통을 어렵게 할 뿐 아니라, 소리를 듣지 못해 발생할 수 있는 위험한 상황에 노출될 수 있기 때문에
panight.tistory.com
척추관협착증 치료방법, 척추관협착증 수술비용
오늘은 척추관협착증에 대해서 알아보고자 합니다. 척추관협착증은 척수신경이 지나가는 척추관이 좁아져 신경을 누르게 되어 통증을 느끼는 질환입니다. 사람은 나이가 들어감에 따라 디스크
panight.tistory.com
'건강, 운동' 카테고리의 다른 글
| 테니스 엘보 보호대 추천, 테니스 엘보 치료법 (0) | 2020.10.30 |
|---|---|
| 임플란트 가격비교 사이트 정리 (0) | 2020.10.30 |
| 다한증 원인, 다한증 치료 (0) | 2020.10.28 |
| 프로바이오틱스 효능, 프로바이오틱스 제품 추천 (0) | 2020.10.26 |
| 류마티스 관절염 초기증상, 류마티스 관절염 치료법 (0) | 2020.10.25 |